Headline
PERADABAN tidak pernah tumbuh di ruang hampa. Ia dibangun oleh gagasan, dirawat oleh nilai, dan dijaga oleh nalar.
PERADABAN tidak pernah tumbuh di ruang hampa. Ia dibangun oleh gagasan, dirawat oleh nilai, dan dijaga oleh nalar.
Kumpulan Berita DPR RI
Dokter Presiden Donald Trump merilis hasil MRI yang menunjukkan kondisi kardiovaskular dan abdominal presiden dalam keadaan sangat normal.
Fasilitas MRI (Magnetic Resonance Imaging) 1.5 Tesla menghadirkan teknologi pencitraan medis dengan hasil diagnostik beresolusi tinggi tanpa paparan radiasi ionisasi.
Berdasarkan data pada 2023, terungkap Kalimantan Barat hanya memiliki dua sistem MRI dengan jumlah penduduk mencapai 5 juta jiwa.
Magnetic Resonance Imaging (MRI) sudah lama menjadi standar emas di dunia medis modern.
Keith McAllister, 61, tewas ketika rantai logam menarik tubuhnya ke arah mesin MRI di Long Island, AS.
Proyek UK Biobank telah memindai 100.000 relawan dengan MRI, X-ray, dan AI, membuka jalan untuk deteksi dini penyakit.
Ilmuwan dari University of Illinois kembangkan teknologi MRI metabolik super cepat yang dapat membedakan otak sehat dari tumor.
Fisikawan Jerman temukan cara baru untuk menciptakan medan magnet kuat dan homogen menggunakan magnet permanen kompak.
MRI (Magnetic Resonance Imaging) 1,5 Tesla merupakan teknologi pencitraan medis terbaru yang memberikan gambaran yang lebih detail dan akurat mengenai kondisi tubuh pasien.
Sean "Diddy" Combs, yang sedang dalam tahanan di Metropolitan Detention Center, dibawa ke Brooklyn Hospital pada malam 30 Januari untuk menjalani MRI pada lututnya.
MAGNET banyak digunakan dalam berbagai produk teknologi. Salah satunya yang paling populer dalam teknologi kedokteran, seperti Magnetic Resonance Imaging (MRI).
Fitur unggulan pada alat diagnostik MRI Mandaya Karawang yang baru ini adalah fitur fast scan yang dapat membuat pemeriksaan menjadi lebih cepat hingga 50%.
Penelitian terbaru menggunakan MRI mengungkapkan perubahan besar dan reorganisasi pada otak perempuan selama kehamilan hingga dua tahun setelah melahirkan.
Untuk radiasi maka dilihat profil anaknya tinggi, berat badan dan usia yang nantinya diberikan radiasi seminimal mungkin tapi tetap memberikan hasil gambar semaksimal mungkin.
BRIN melalui Organisasi Riset Elektronika dan Informatika (OREI) menjajaki kerja sama dengan ISOL Technlogy Inc, perusahaan asal Korea Selatan dalam pengembangan MRI.
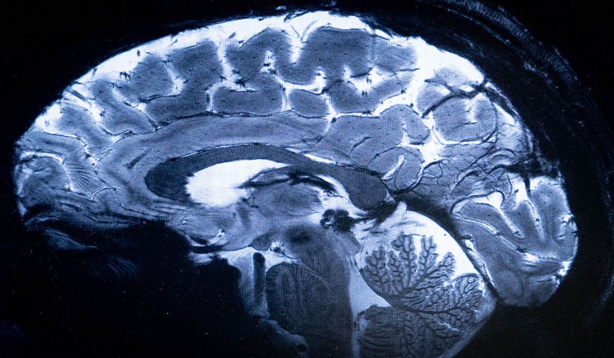
Magnetic Resonance Imaging atau yang biasa disebut MRI, memungkinkan peneliti untuk melihat detail otak manusia dengan tingkat presesi baru.
Teknologi ini dihadirkan mengingat MRI merupakan salah satu alat pemeriksaan yang sangat penting, terutama bagi penyakit stroke
KEMENTERIAN Kesehatan (Kemenkes) berupaya memenuhi alat penunjang di rumah sakit-rumah sakit daerah.
Media Indonesia berusaha menghadirkan foto-foto eksclusive sehingga pembaca dapat melihat kejadian aktual dengan lebih baik
LOAD MORECopyright @ 2026 Media Group - mediaindonesia. All Rights Reserved