Headline
PERADABAN tidak pernah tumbuh di ruang hampa. Ia dibangun oleh gagasan, dirawat oleh nilai, dan dijaga oleh nalar.
PERADABAN tidak pernah tumbuh di ruang hampa. Ia dibangun oleh gagasan, dirawat oleh nilai, dan dijaga oleh nalar.
Kumpulan Berita DPR RI
PRESENTER Ruben Onsu, 40, beberapa waktu lalu pernah mengungkapkan ia menderita penyakit langka berupa empty sella syndrome (ESS). Wajahnya terlihat pucat dan tubuhnya tampak kurus. Bahkan, ia sempat dirawat di sebuah rumah sakit. Ruben juga mendapatkan transfusi darah. Hal yang serupa terjadi tahun lalu yang bahkan menyebabkan ia harus masuk ICU.
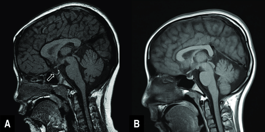
ESS tidak mudah diketahui karena pada penyakit itu jarang muncul gejala, bahkan bisa tidak bergejala sehingga sulit dideteksi pengidapnya.
"ESS merupakan keadaan yang langka ditemukan. Kebanyakan ESS tidak bergejala sehingga dideteksi tanpa sengaja saat pasien melakukan pemeriksaan kepala," kata Dokter Spesialis Bedah Saraf Rumah Sakit Siloam Kebon Jeruk dr Petra OP Wahjoepramono SpBS saat dihubungi, Selasa (9/5).
Baca juga : 29 Februari Diperingati Sebagai Hari Apa?
ESS merupakan penyakit yang menyerang otak bagian sella turcica atau ruang dasar otak tempat kelenjar pituitari yang sebenarnya berfungsi untuk menghasilkan hormon pada kesehatan.
Terdapat dua tipe ESS, yakni primer dan sekunder. Pada ESS primer, kelenjar pituitari biasanya berbentuk pipih. ESS jenis itu lebih sering terjadi pada wanita yang mengalami obesitas dan memiliki tekanan darah tinggi. Itu juga diduga menjadi penyebab penumpukan cairan di otak.
Sementara itu, pada ESS sekunder kelenjar pituitari mungkin mengecil karena perubahan genetik (mutasi), cedera, terapi radiasi, atau pembedahan.
Baca juga : Celine Dion Terus Berjuang untuk Sembuh dari Penyakitnya
"Namun, kalau ESS bergejala, kaitannya erat dengan pengaturan hormon yang tempatnya di dalam sella turcica tersebut. Jadi, bisa terdapat pusing, libido berkurang, obesitas, sering lelah, dan bisa dibuktikan dengan pemeriksaan hormon. Pandangan bisa terganggu jika menekan saraf mata," ungkapnya.
Gejalanya muncul berupa impotensi, sakit kepala, cepat lelah, darah tinggi, tidak ada gairah seksual, dan menstruasi tidak teratur.
Petra menjelaskan jika pasien tidak pernah menjalani operasi kepala, radiasi, atau cedera kepala yang berat, ESS biasanya disebabkan pembentukan lapisan otak yang tidak sempurna di daerah sella. Pemeriksaan fisik yang diperlukan untuk diagnosis ESS ialah CT scan dan MRI. "ESS kebanyakan ditemukan tanpa sengaja," jelasnya.
Baca juga : Pasangan Sandra Bullock, Bryan Randall, Meninggal Karena Penyakit Langka
ESS biasanya tidak bahaya dengan keluhan yang tidak spesifik, seperti pusing, lemas, obesitas, dan libido berkurang. Namun, kalau dibiarkan tidak terdeteksi dalam waktu lama, bisa berakibat fatal karena kekurangan hormon, misal, hormon tiroid.
Jika dalam pemeriksaan kelenjar pituitari berfungsi dengan baik, tidak diperlukan pengobatan. Namun, bila tidak berfungsi dengan baik karena ESS, pengobatan biasanya melibatkan pengobatan yang mengobati kadar hormon abnormal, bergantung pada hormon mana yang terpengaruh.
Jika ESS menyebabkan cairan serebrospinal bocor dari hidung (rinore CSF), diperlukan pembedahan.
"Pengobatan hanya sesuai dengan keluhan, misalnya, bila kekurangan hormon, akan diberi suplemen. Bila kondisi sangat berat sehingga tidak respons obat atau mengancam nyawa, baru dilakukan operasi untuk ESS," jelasnya.
"Jadi bagi masyarakat, kalau ada keluhan kesehatan sudah lama, baiknya diperiksakan supaya bisa ditangani tepat waktu," pungkasnya.
Charcot-Marie-Tooth (CMT) adalah penyakit saraf genetik langka yang sering diabaikan. Kenali gejala, penyebab, dan pentingnya deteksi dini untuk cegah komplikasi.
Seorang perempuan di Philadelphia didiagnosis skorbut, penyakit langka akibat kekurangan vitamin C.
Ada orang yang benar-benar tidak bisa merasa takut akibat penyakit langka dan kerusakan otak.
Seorang pria dijuluki tree man atau manusia pohon karena menderita kondisi medis langka. Kondisi itu membuat tangan dan kakinya berubah menyerupai kulit kayu.
LINITIS plastica jarang terdengar di telinga masyarakat awam. Hal itu karena penyakit ini merupakan kanker lambung yang masih tergolong jinak namun dalam kategori langka.
Finley Ranson, remaja 14 tahun asal Inggris, mengidap kondisi langka yang membuat tubuhnya bereaksi ekstrem terhadap lemak.
Mahkamah Agung Brasil izinkan mantan presiden Jair Bolsonaro menjalani operasi hernia di Hari Natal.
Penyanyi legendaris Barry Manilow umumkan diagnosis kanker paru-paru stadium awal. Ia akan menjalani operasi dan bertekad kembali ke panggung pada Februari.
Teknologi Spinal Neuronavigation merupakan sebuah sistem GPS canggih untuk tubuh manusia yang fungsinya meningkatkan presisi tindakan operasi tulang belakang.
Putri Joanna Alexandra harus mendapat tindakan medis karena memasukkan potongan lego ke dalam hidungnya hingga menjalani operasi.
Cedera itu muncul saat Tyler Herro menjalani latihan sepanjang musim panas dan semakin memburuk dalam beberapa pekan terakhir.
Dokter menekankan pentingnya penerapan pola hidup sehat dalam upaya untuk mencegah kekambuhan wasir, penyakit yang ditandai dengan nyeri, perdarahan, dan benjolan pada anus.
Copyright @ 2026 Media Group - mediaindonesia. All Rights Reserved